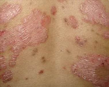
导致牛皮癣复发的因素是什么?牛皮癣最怕的就是治好了,但却又复发了,这会给患者造成再次伤害。很多患者饱受折磨,让他们对这种疾病感到十分苦恼,对其治疗也变得失去信心了。那么,导致牛皮癣复发的因素是什么呢?一起来看看长春博润皮肤病医院的介绍吧!

推荐阅读:牛皮癣的危害是什么
牛皮癣复发的因素有:
1、牛皮癣与很多因素都是有联系的,其中也保护食物,但是没有发现哪种食物会直接导致牛皮癣发病,但是部分食物可使其症状加重。鱼虾、羊肉、饮酒、鸡肉、牛肉及牛奶,辛辣刺激性食物如葱蒜、辣椒等,猪头肉,鸭肉例、兔肉。
2、人们在季节更替时期容易出现各种心理疾病,另外秋季还容易出现“秋燥”现象,紧张、抑郁、上火等状况都容易影响人的心理状态,让人心理失衡,出现神经、免疫功能紊乱,结果导致牛皮癣复发。
3、最常见的还是遗传基因,这种情况的患者有很多。牛皮癣发生与遗传基因有关,其中每一对基因的作用较轻微,但其作用是累积的,当累积的效应超过一定的值,遇有一定外因,或体内某些因素变化时,即发病。
导致牛皮癣复发的因素是什么?以上内容就是对“牛皮癣复发的因素”的介绍,希望对您有帮助。患者在生活中养成一个好的饮食习惯,有利于病情的恢复。如果您有什么问题或者困扰,可以通过网站或者电话,随时免费咨询,专家会为您耐心解答疑问并且给予专业的指导意见,提供专业治疗方案。
